본문바로가기

open

닫기
검색

검색어를 입력하세요.

 

서울아산병원은 신뢰도 있는 건강정보 콘텐츠를 제공하여 더 건강한 사회 만들기에 도움이 되고자 합니다.콘텐츠 제공 문의하기

서울 아산병원 뇌하수체종양 공개강좌

04. 뇌하수체 선종에 대한 방사선 수술

조 영 현 교수


00:07
뇌하수체 종양의 1차 치료법은 수술이나 약물요법입니다. 방사선 요법은 수술이나 약물치료 이후에 종양이 남아있거나 재발했을 때 2차적으로 고려합니다. 방사선 요법은 두 가지 종류가 있는데요. 첫 번째는 정위적 방사선 수술이라고 합니다. 흔히 그냥 방사선 수술이라고 부르고요. 두 번째는 분할 방사선 치료인데 이것 역시 줄여서 방사선 치료라고 이야기합니다. 이렇게 두 가지 방법이 있습니다.

00:45
두 가지 방법의 차이를 알아보겠습니다. 주로 예전부터 많이 사용해오던 방사선 치료부터 설명 드리겠습니다. 여기 보시면 동그랗게 보이는 것이 종양입니다. 종양과 주변 뇌 조직을 포함해서 방사선을 쪼입니다. 그런데 한꺼번에 쪼이면 뇌 조직이 손상됩니다. 25~30번 정도로 나눠서 조금씩 쪼여 줍니다. 그러면 뇌 손상은 줄이면서 종양은 치료되는 효과를 볼 수 있습니다. 그런데 사실 정상적인 뇌에 방사선을 쪼여서 좋을 것이 없습니다. 그래서 최근에는 이런 방법 말고 종양만 목표로 해서 여러 방향에서 방사선을 모아 종양에만 세게 방사선을 쪼이는 방법을 사용합니다. 이것이 방사선 수술입니다.

01:54
방사선 수술의 개념은 오래 전부터 있어 왔습니다. 이 분은 스웨덴 출신의 신경외과 의사인데요. 1950년대에 이미 아이디어가 나왔고요. 방사선 수술이라고 이야기하긴 하지만 실제로 머리를 열고 하는 수술은 아닙니다. 정상조직을 제거하지 않고 암만 제거하는 것이 수술의 개념입니다. 방사선이 주변의 정상 조직에는 영향을 끼치지 않고 종양에만 쪼여져 수술을 하는 것처럼 종양만 없어지는 효과를 볼 수 있다고 하여 방사선 수술이라는 이름을 붙였습니다. 실제로는 머리를 열지도 않고 마취도 필요 없습니다. 정위적이라는 것은 위치를 정한다는 뜻입니다. 예전의 일반 방사선 치료는 종양을 포함하여 일반 뇌까지 넓게 쪼이다 보니 종양에만 국한해서 위치를 정한 뒤 치료하는 개념은 아니었습니다.

03:55
방사선 수술은 위치를 정해서 종양만을 목표로 합니다. 마치 돋보기로 햇빛을 모으는 것과 비슷한 것이죠. 실제로 감마나이프라는 장비를 이용해서 뇌종양 환자에게 방사선을 전달할 곳을 컴퓨터로 계산하는 장면을 찍어 놓은 사진인데요. 지도에서 같은 높이를 연결한 선을 등고선이라고 하죠. 등고선과 비슷한 선이 그려집니다. 이것의 단면을 잘라 방사선 양의 분포를 살펴보면 종양에만 국한해서 고용량의 방사선이 들어가고요. 주변 정상조직에는 무시해도 좋을 정도의 방사선이 들어갑니다.

04:24
다시 한 번 차이를 정리해보겠습니다. 방사선 수술은 정상조직을 배제하고 종양에 국한해서 치료하는 개념이고요. 주로 한 번 세게 쪼이고 치료가 끝납니다. 그에 비해 방사선 치료는 정상조직을 포함하여 치료되고요. 아주 약하게 많은 횟수로 치료합니다. 그렇다고 지금 방사선 치료를 아예 하지 않는 것은 아닙니다. 종양이 어떤 상태냐에 따라 둘 중 하나의 방법을 적용하여 치료하는데요. 주변 뇌 조직으로 종양이 침투하여 자라고 있는 것을 침윤성이라고 합니다. 침윤성 종양과 범위가 광범위한 종양에서는 방사선 치료를 지금도 사용합니다. 주변으로 침윤되지 않고 비교적 국한된 범위에 종양이 있을 경우에는 방사선 수술이 효과가 좋고 점점 널리 사용되고 있습니다.

05:31
방사선 수술은 뇌하수체 선종 뿐 아니라 양성, 악성 여러 뇌종양을 치료하는데 이용되고 있습니다. 뇌혈관 질환이나 기능성 뇌 질환에서도 다양하게 응용되고 있습니다.

05:52
수술과 관련된 통증이나 염증이 없다는 것이 장점이고요. 뇌수술의 경우 상당히 위험할 수 있는데 이 위험을 피할 수 있다는 것도 장점입니다. 또 전신마취를 하지 않기 때문에 연령이 높거나 전신마취하기에는 건강상태가 좋지 않은 환자들을 안전하게 치료할 수 있습니다. 하지만 방사선 수술을 모든 경우에 적용할 수 있는 것은 아닙니다. 크기 제한도 있고요. 방사선에 민감한 뇌 조직이 인접해있으면 제한이 될 수 있습니다. 그런데 근래 들어서 이런 경우에도 시도를 하고 있습니다. 최근 저희 병원에 도입된 사이버나이프 장비를 이용하여 몇 번 나눠서 방사선을 쪼이면 이런 한계를 극복할 수 있을 것이라고 생각되어 방법을 모색 중에 있습니다.

06:44
방사선 수술 장비는 여러 가지가 있습니다. 그 중 감마나이프가 가장 오랜 역사를 가지고 있고 전 세계적으로 가장 널리 이용되고 있습니다. 그 때문에 학술적으로도 가장 많이 효과가 입증되어 있는 장비입니다. 2000년대에 사이버나이프 장비가 개발되어 쓰이고 있는데요. 개념은 감마나이프와 비슷합니다. 그런데 사이버나이프는 분할치료가 가능합니다. 그래서 기존에 감마나이프를 사용할 수 없었던 환자들에게 도움을 줄 수 있다는 장점이 있습니다. 그 외에 노발리스, 선형가속기를 이용한 장비, 양성자 치료기 등등이 있습니다. 어느 한 가지가 다른 것보다 우월하다고 학술적으로 증명된 것은 아직 없습니다.

08:04
이것이 저희 병원에서 사용하는 감마나이프 장비인데요. 여기 이렇게 환자 분이 누워 계시면 이 안에 방사선 동위원소가 있고요. 이 안으로 들어가서 종양에 방사선을 쪼여 치료하도록 되어 있습니다.

08:30
이것은 사이버나이프 장비입니다. 이것은 선형 가속기라고 하여 방사선이 나오는 장치입니다. 이것은 로봇 팔입니다. 환자 분이 누워 계시면 로봇 팔이 돌아다니면서 종양에 방사선을 쪼여주게 됩니다.

08:38
방사선 수술이 필요한 상황이라고 판단되면 방사선 수술을 하는 의사에게 진료를 보시게 되고요. 뇌하수체 종양의 종류, 크기, 위치 그리고 환자 분의 건강상태와 뇌 기능 상태를 종합적으로 판단해서 치료를 할 것인지 말 것인지, 한다면 어떤 치료를 할 것인지 결정합니다. 다음으로 감마나이프 센터나 사이버나이프 센터 코디네이터 분과 면담을 통해 치료일정을 잡게 됩니다.

09:30
이것이 우리 머리에 고정하는 틀입니다. 국소마취를 해서 머리뼈에 단단하게 고정하는 장치를 사용합니다. MRI나 CT 찍은 것을 바탕으로 컴퓨터로 계산을 해서 장비 내로 들어가 치료를 합니다. 감마나이프는 주로 하루 정도 소요됩니다. 아침 일찍 오셔서 반나절 정도 치료 받고 돌아가시면 됩니다.

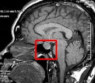
09:43
이것이 고정 틀을 사용해 얻은 MRI사진입니다. 주변 뇌 조직과 엄밀하게 구분해서 뇌하수체 종양의 위치를 파악하고 있습니다. 또 주변에 시신경이 가까이 있습니다. 시신경에 손상을 주면 안 되죠. 시신경과 종양의 위치를 정확하게 파악해서 컴퓨터로 치료 계획을 수립합니다.

10:16
이것이 사이버나이프 전체 시스템입니다. 사이버나이프는 감마나이프와 달리 틀을 사용하지 않습니다. 대신 환자 분 안면 윤곽에 맞춰 마스크를 제작하고 이 마스크를 쓴 상태에서 치료하게 됩니다. 주로 사이버나이프는 분할 치료하는데 이용하는데요. 보통 3~5일 정도 치료합니다. 그럴 때마다 고정 틀로 위치를 잡고요. 환자 분의 자세가 조금 이동하더라도 로봇이 위치 변화를 감지해서 쫒아가도록 되어 있습니다.

11:01
이것이 사이버나이프 소프트웨어로 치료 계획을 잡은 것입니다. 여기에 종양을 그리고요. 시신경, 안구 이런 것들을 다 피해서 방사선 빔이 전달되도록 되어 있습니다.

11:18
감마나이프와 사이버나이프의 방사선원 이런 것들에 따른 효과 등은 큰 차이가 없고요. 사이버나이프의 경우 고정 틀을 사용하지 않기 때문에 분할 치료가 가능하다는 것이 큰 장점이 됩니다. 또 환자 분도 덜 불편하시죠. 가장 중요한 것은 기존에 감마나이프로 치료하기 힘들던 것들을 사이버나이프가 분할치료로써 수행가능하다는 것입니다. 최신 치료라고 할 수 있는데요. 저희 병원을 포함해 전 세계 모든 병원이 모색 중인 단계에 있습니다.

12:03
뇌하수체 선종의 방사선 수술 효과는 크게 두 가지 관점에서 따져봐야 합니다. 첫 째 종양이 자라면 안 되겠죠. 종양이 자라면 시신경에 영향을 끼치고요. 시신경이 안 좋아지면 잘 보지 못하기 때문에 다른 뇌 기능에도 문제가 생길 수 있습니다. 따라서 최소한 종양이 자라지는 않아야 합니다. 이런 측면에서 봤을 때 90% 이상 거의 치료가 됩니다. 두 번째로 기능성 뇌하수체 선종에서 호르몬 기능을 잡아야 합니다. 좀 엄격한 기준을 잡아보겠습니다. 그러니까 호르몬이 완전히 정상레벨로 떨어지는 것으로 기준으로 했을 때 대부분 치료효과를 얻는데 좀 오래 걸립니다. 쿠싱병의 경우 2년 전후, 말단비대증이나 프로락틴 선종의 경우 5년 혹은 그 이상이 걸립니다. 정상이 되는 것을 기준으로 봤을 때는 50~60%를 보는데요. 하지만 정상이 되지는 않더라도 충분한 효과를 보는 것은 기대할 수 있습니다.

13:09
제가 사이버나이프를 이용해 치료한 환자분입니다. 뇌하수체 선종의 크기가 작은 편은 아니었고요. 특히 인접해서 시신경이 위치해 있었습니다. 이런 경우 크기와 위치 때문에 기존에 사용하던 감마나이프로 치료하기에는 부담이 됩니다. 그래서 사이버나이프를 이용하여 분할치료를 했고요. 일 년 반 만에 종양의 사이즈가 많이 줄어든 것을 확인할 수 있었습니다.

13:52
부작용은 대개 경미합니다. 크게 문제가 되지 않고요. 뇌하수체 기능 저하증이 약 1/4~1/5정도에서 보이는데 이런 경우 호르몬 복용을 하셔야 합니다. 잘만 복용하시면 별다른 문제는 없습니다. 중요한 것은 시신경이나 다른 뇌신경의 손상인데 사실상 거의 없습니다.

14:25
요약하겠습니다. 방사선 수술은 뇌하수체 선종 치료에 2차적으로 적용됩니다. 전반적으로 효과가 좋고 안전합니다. 모든 뇌하수체 종양에 적용 가능한 것은 아니고요. 종양의 특성이나 환자 분 상태에 따라 판단해야 합니다. 다른 치료법과도 비교해서 잘 따져보고 적용해야 합니다. 요즘 방사선 수술에 대한 정보가 많다보니 이야기를 듣고 찾아오시는 환자분들이 계십니다. 특히 사이버나이프가 좋다고 하니 그것으로 해달라고 하시는 분들도 계시는데요. 특정 장비를 맹신할 필요는 없습니다. 모든 장비는 한계가 있고 부작용도 있습니다. 따라서 질병에 대한 올바른 이해와 주치의와의 충분한 상의를 거쳐 적절한 치료법을 선택하고 치료를 잘 받는 것이 중요합니다.

15:19
감사합니다.

서울아산병원 뇌하수체종양 공개강좌
2014.09.13

04.뇌하수체 선종에 대한 방사선수술
조영현 교수
신경외과
15'21"

05505 서울특별시 송파구 올림픽로 43길 88 서울아산병원
사업자등록번호 : 219-82-00046 박승일
TEL 1688-7575 / webmaster@amc.seoul.kr
Copyright@2014 by Asan Medical Center. All Rights reserved.
  • 진료과 바로가기
  • 재단산하기관 바로가기
  • 센터 바로가기
  • 관련기관 바로가기
  • 서울아산병원, 20년 연속 존경받는 병원 1위
  • 서울아산병원, 美 뉴스위크 평가 세계 25위·국내 1위
  • 서울아산병원, 정보보호 관리체계 ISMS 인증 획득