본문바로가기
로그인
회원가입
나의차트
병원둘러보기
오시는길
Language
English
Chinese
Russian
Arabic
Mongolian
Japanese
검색
검색어 입력
검색어를 입력하세요.
자동완성 펼치기
자동 완성 끄기
의료진/진료과
진료예약/안내
건강정보
고객서비스
의학교육
병원이야기
병원소개
로그인 하시면
더욱 다양한 혜택을
이용하실 수 있습니다.
로그인
나의차트
진료예약
의료진/진료과
의료진
진료과
암병원
어린이병원
심장병원
센터
클리닉
아산생명과학연구원
기타
진료예약/안내
병원안내
오시는길
주차안내
둘러보기
편의시설
전화번호안내
외래진료안내
진료예약
진료절차
진료안내
응급진료안내
진료안내
응급증상
입원진료안내
입원진료절차안내
진료/환자안전활동참여
가정간호안내
가정간호란
신청방법
검사실안내
건강정보
의료정보
인체정보
증상백과
질환백과
검사/시술/수술정보
의약품정보
알기쉬운의학용어
식사요법
환자교육자료
건강TV
내 몸 둘러보기
영상으로 보는 검사
AMC 병법
건강이야기
병원이야기
건강강좌
사람들이야기
병원뉴스
헬스에디터
메디컬칼럼
건강이야기
고객서비스
발급안내
증명서
의무기록 및 영상CD 발급
중간진료비결제
위변조문서확인
고객서비스
고객의소리
칭찬코너
이용문의
콘텐츠제공안내
의학교육
학술행사일정
학술영상다시보기
병원이야기
리얼스토리
사회공헌
해외의료봉사
국내의료봉사
직원봉사활동
불우환자진료비지원
후원
후원
후원현황
후원참여안내
후원이야기
나의후원내역
자원봉사
안내
게시판
병원소개
재단소개
설립자소개
이사장인사말
설립취지
병원소개
병원장인사말
병원안내
서울아산병원 30년사
미션/비전
안전경영
연혁/의료성과/의료진동정
현황
기구조직
협력기관
CI
소식
소식/공지
주요뉴스
채용안내
입찰공고
강좌안내
갤러리
재단산하병원 구인정보
정기간행물
병원신문
건강정보메일
홍보책자
연보
실적 및 성과
환자자기평가결과
Footprints of AMC
교육장안내
시설안내
대관내규
건강정보
의료정보
인체정보
증상백과
질환백과
검사/시술/수술정보
의약품정보
알기쉬운의학용어
식사요법
환자교육자료
건강TV
헬스에디터
메디컬칼럼
건강이야기
예약문의
1688-7575
증상백과
신체부위 내 증상을 선택 하신 후 검색 버튼을 클릭해 주세요
머리
목
가슴
배
등
엉덩이
팔
다리
그 외
눈
귀
코
입
전신
피부
유방
생식기
골반
손
발
기타
간성뇌증
간성뇌증
강박증
강박증
건망증
건망증
고산병
고산병
광대뼈 위치 이상
광대뼈 위치 이상
기민상태
기민상태
기억장애
기억장애
깨어나면 기억하지 못함
깨어나면 기억하지 못함
납작한 코, 축 쳐진 귀
납작한 코, 축 쳐진 귀
낮 시간대의 졸음
낮 시간대의 졸음
낮은 지능
낮은 지능
낮은 학업 성취
낮은 학업 성취
내분비계이상
내분비계이상
놀란표정
놀란표정
놀람반사의 약화
놀람반사의 약화
뇌부종
뇌부종
뇌수종
뇌수종
뇌압상승증상
뇌압상승증상
뇌염증상
뇌염증상
뇌출혈
뇌출혈
달모양의 둥근 얼굴
달모양의 둥근 얼굴
두부 외상
두부 외상
두통
두통
두피 건조
두피 건조
두피 열상
두피 열상
만성 부비동염
만성 부비동염
머리모양 변형
머리모양 변형
모발 탈색
모발 탈색
모발이 가늘어짐
모발이 가늘어짐
모발이 거침
모발이 거침
무균성 뇌막염
무균성 뇌막염
무의식
무의식
박동성 통증
박동성 통증
방향감각 상실
방향감각 상실
볼, 눈주위 움푹 꺼짐
볼, 눈주위 움푹 꺼짐
볼이 처짐
볼이 처짐
비웃는 듯한 표정
비웃는 듯한 표정
삐뚤어진 눈, 코, 입
삐뚤어진 눈, 코, 입
수막자극증상
수막자극증상
실인증
실인증
실행증
실행증
안면 변형
안면 변형
안면마비
안면마비
안면부 출혈
안면부 출혈
안면통
안면통
안면홍조
안면홍조
어지러움
어지러움
언어장애
언어장애
얼굴 중심선이 안맞음
얼굴 중심선이 안맞음
얼굴 한쪽의 반점
얼굴 한쪽의 반점
얼굴모양변화
얼굴모양변화
얼굴부종
얼굴부종
얼굴에 땀이 남
얼굴에 땀이 남
얼굴에 털이 자람
얼굴에 털이 자람
얼굴의 나비모양 홍반
얼굴의 나비모양 홍반
얼굴이 밋밋함
얼굴이 밋밋함
얼굴이 화끈거림
얼굴이 화끈거림
얼굴형태의 이상
얼굴형태의 이상
운동 실어증
운동 실어증
원형, 타원형의 탈모
원형, 타원형의 탈모
의식 변화
의식 변화
의식 저하
의식 저하
이마가 넓어짐
이마가 넓어짐
이마의 주름
이마의 주름
이중턱
이중턱
인지장애
인지장애
졸림
졸림
지남력 장애
지남력 장애
짓누르는 느낌
짓누르는 느낌
치매
치매
코 옆과 입꼬리 주름
코 옆과 입꼬리 주름
콧등이 넓어짐
콧등이 넓어짐
턱끝이 커보임
턱끝이 커보임
턱의 통증
턱의 통증
편두통
편두통
하악전돌
하악전돌
학습장애
학습장애
혼돈
혼돈
혼수
혼수
검색
선택 초기화
선택된 증상
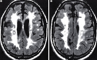
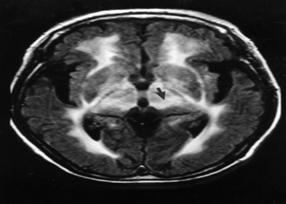
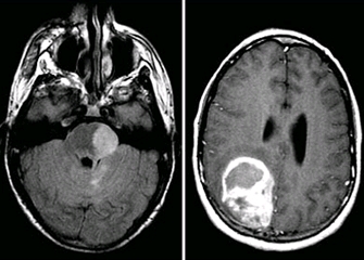
뇌전증 발작
Haw River 증후군(Dentatorubro-Pallidoluysian atrophy(DRPLA))
관련질환
프리이드라이히 운동실조증
,
근긴장성 이영양증
,
척수구근 근위축증
,
척수소뇌성 운동실조증
,
헌팅톤 병
,
유약 X 증후군
광견병(Rabies)
관련질환
길랑-바레 증후군
교모세포종(Glioblastoma)
관련질환
신경모세포종
,
수두증
,
뇌종양
,
양성 뇌종양
,
뇌신경 인플레
,
원발성 중추신경계 림프종
뇌 동정맥 기형(Cerebral arteriovenous malformation)
관련질환
뇌졸중
,
뇌경색
,
자발성 두개강 내 출혈
관련용어
앞뇌
뇌동맥류(Cerebral aneurysm)
관련질환
자발성 두개강 내 출혈
,
뇌동맥 폐쇄
,
동맥류
관련용어
앞뇌
,
양관자쪽반맹
뇌성 마비(Cerebral palsy)
관련질환
바이러스성 뇌수막염
,
운동신경 질환
,
보행 운동 장애
관련용어
가위걸음
,
양측마비
뇌전증(Epilepsy)
관련질환
뇌경색
,
발작
,
저혈당증
,
뇌졸중
,
뇌 동정맥 기형
,
양성 뇌종양
,
뇌종양
,
저칼슘혈증
,
선천성 기형
,
외상성 경막하 출혈
관련용어
야간발작
,
뇌전증 지속상태
,
조짐
,
뇌전증유발
,
간대성근경련증
,
항경련
,
국소뇌전증
,
정신병
,
전신뇌전증
,
관자엽뇌전증
,
영아경련수축
,
치아절제술
,
불수의운동
,
페노바르비탈
,
자동증
,
운동중추손상뇌전증
,
기억착오(증)
,
겉질제거
,
항뇌전증
뇌종양(Brain tumor)
관련질환
뇌하수체 양성 및 악성 신생물
,
신경종
,
뇌하수체의 악성 신생물
,
양성 뇌종양
관련용어
악성종양
,
양전자단층촬영술
,
악성세포전환
,
앞뇌
,
안성사경
,
악성-
단순 포진성 뇌염(Herpes simplex encephalitis)
관련질환
바이러스성 뇌수막염
,
박테리아성 뇌수막염
,
대상포진 후 신경통
,
대상포진
,
헤르페스 바이러스 감염
,
구순포진
,
뇌염
대사성 알칼리증(Metabolic Alkalosis)
관련질환
섬망
,
신부전
,
대사성 산증
관련용어
알칼리
,
알칼리증
,
알칼리혈증
바이러스성 뇌수막염(Viral meningitis)
관련질환
수족구병
,
박테리아성 뇌수막염
,
출혈성 결막염
관련용어
안와농양
부갑상선기능저하증(Hypoparathyroidism)
관련질환
갑상선암
,
부갑상선기능항진증
,
고칼슘혈증
,
갑상선기능항진증
,
자가면역 질환
,
저칼슘혈증
관련용어
갑상샘
수막종(Meningioma)
관련질환
뇌종양
,
양성 뇌종양
스터지 웨버 증후군(Sturge Weber Syndrome)
관련질환
화염상 모반
,
뇌졸중
,
녹내장
,
신생아 경련
,
발작
,
모반
,
간 혈관종
스파르가눔증(Sparganosis)
관련질환
선모충증
,
요충증
,
원충성 질환
악성 신경교종(Malignant Glioma)
관련질환
뇌종양
,
양성 뇌종양
관련용어
악성세포전환
,
악성-
원발성 중추신경계 림프종(Primary CNS lymphoma)
관련질환
림프종
,
비호지킨 림프종
,
호지킨 림프종
자간증(Eclampsia)
관련질환
자간전증
,
임신성 고혈압
,
임신성 당뇨병
저나트륨혈증(Hyponatremia)
관련질환
울혈성 심부전
,
신부전
,
요붕증
테이-삭스병 (Tay-Sachs disease)
관련질환
니만-피크병
,
파브리병
,
고셔병
,
이염성 백질이영양증
피질하 경색과 백질뇌증을 동반하는 상염색체 우성 뇌동맥질환(Cerebral Autosomal Dominant Arteriopathy with Subcortical Infarcts and Leukoencephalopathy)
관련질환
모세혈관 확장성 운동실조 증후군
,
결절성 경화증
,
신경섬유종
,
로우 증후군
,
레트 증후군
,
뇌졸중
핵황달(Kernicterus)
관련질환
간경화
,
신생아 황달
1
공유하기
카카오톡
페이스북
X
라인
링크복사